Hình ảnh bệnh viêm phổi giúp nhận biết dấu hiệu sớm

25-07-2025
Chia sẻ

Hình ảnh bệnh viêm phổi đóng vai trò quan trọng trong việc nhận biết sớm dấu hiệu và hỗ trợ bác sĩ chẩn đoán chính xác tình trạng bệnh. Bài viết này tổng hợp hình ảnh minh họa rõ nét, giúp bạn hiểu rõ triệu chứng và mức độ nghiêm trọng của viêm phổi.

Hình ảnh bệnh viêm phổi là như thế nào

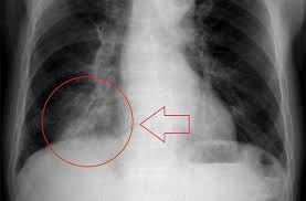
Bạn đã bao giờ tận mắt nhìn thấy hình ảnh bệnh viêm phổi khiến giới y học rúng động chưa? Những bức hình chụp X-quang, CT ngực cho thấy phổi trắng xóa, tổn thương nặng nề và lan rộng như một cơn bão trong lồng ngực. Chúng không chỉ gây sốc cho người xem mà còn cảnh báo mức độ nguy hiểm của căn bệnh này – thứ có thể cướp đi sinh mạng trong tích tắc nếu không điều trị kịp thời.

Hình ảnh bệnh viêm phổi là như thế nào
Hình ảnh bệnh viêm phổi là như thế nào

Click để xem thêm: Nhận biết sớm qua hình ảnh bệnh viêm cầu thận thực tế

Tổng hợp ảnh bệnh viêm phổi chân thực nhất

Bộ sưu tập hình ảnh bệnh viêm phổi dưới đây không dành cho người yếu tim – từng tấm ảnh như một lời cảnh báo trực quan về sức tàn phá của vi khuẩn, virus trong phổi. Từ những mảng mờ đục lan rộng đến khoang phổi sưng viêm dữ dội, tất cả hiện lên rõ nét, khiến bất cứ ai cũng phải giật mình và quan tâm hơn đến việc bảo vệ sức khỏe hô hấp của mình.

Khám phá hình ảnh bệnh viêm phổi rõ nét
Khám phá hình ảnh bệnh viêm phổi rõ nét
Nhìn rõ triệu chứng qua viêm phổi ở trẻ em
Nhìn rõ triệu chứng qua viêm phổi ở trẻ em
Theo dõi biểu hiện sớm của trẻ bị viêm phổi
Theo dõi biểu hiện sớm của trẻ bị viêm phổi
Cảnh báo nguy hiểm khi bé 2 tháng tuổi bị viêm phổi
Cảnh báo nguy hiểm khi bé 2 tháng tuổi bị viêm phổi
Nhận biết sớm các dấu hiệu của viêm phổi thường gặp
Nhận biết sớm các dấu hiệu của viêm phổi thường gặp
Hiểu đúng các dấu hiệu của trẻ bị viêm phổi
Hiểu đúng các dấu hiệu của trẻ bị viêm phổi
Tìm hiểu hình ảnh thực tế về người bị bệnh phổi
Tìm hiểu hình ảnh thực tế về người bị bệnh phổi
Phụ huynh nên biết nguyên nhân bé bị viêm phổi
Phụ huynh nên biết nguyên nhân bé bị viêm phổi
Cập nhật rõ nét hình ảnh người bệnh viêm phổi
Cập nhật rõ nét hình ảnh người bệnh viêm phổi
Hình ảnh thực tế về ảnh bệnh viêm phổi dễ hiểu
Hình ảnh thực tế về ảnh bệnh viêm phổi dễ hiểu
Cập nhật triệu chứng phổ biến người già bị viêm phổi
Cập nhật triệu chứng phổ biến người già bị viêm phổi
Khám phá thực tế hình ảnh người bị bệnh viêm phổi
Khám phá thực tế hình ảnh người bị bệnh viêm phổi
Tìm hiểu chi tiết về bệnh viêm phổi người lớn phổ biến
Tìm hiểu chi tiết về bệnh viêm phổi người lớn phổ biến
Cảnh báo sớm dấu hiệu của viêm phổi ở người lớn
Cảnh báo sớm dấu hiệu của viêm phổi ở người lớn
Theo dõi tình trạng qua hình ảnh trẻ bị bệnh viêm phổi
Theo dõi tình trạng qua hình ảnh trẻ bị bệnh viêm phổi
Đề phòng nguy hiểm khi bé sơ sinh bị viêm phổi
Đề phòng nguy hiểm khi bé sơ sinh bị viêm phổi
Theo dõi sức khỏe khi trẻ mới sinh bị viêm phổi
Theo dõi sức khỏe khi trẻ mới sinh bị viêm phổi
Khám phá thực tế hình ảnh viêm phổi ở người lớn
Khám phá thực tế hình ảnh viêm phổi ở người lớn
Cập nhật cảnh báo hình ảnh trẻ sơ sinh viêm phổi nặng
Cập nhật cảnh báo hình ảnh trẻ sơ sinh viêm phổi nặng
Tìm hiểu đầy đủ triệu chứng viêm phổi ở người già
Tìm hiểu đầy đủ triệu chứng viêm phổi ở người già

Click để xem thêm: Cách nhận diện hình ảnh bệnh tai xanh ở lợn chính xác

Qua các hình ảnh bệnh viêm phổi minh họa, bạn có thể dễ dàng nhận biết dấu hiệu bất thường để kịp thời khám và điều trị. Việc theo dõi hình ảnh giúp nâng cao hiểu biết và phòng ngừa biến chứng nguy hiểm của bệnh viêm phổi hiệu quả.

×
Ảnh toàn màn hình