Tổng hợp hình ảnh bệnh vảy phấn hồng chi tiết dễ nhận biết

22-07-2025
Chia sẻ

Hình ảnh bệnh vảy phấn hồng là cách nhận diện nhanh và chính xác tình trạng da phổ biến, dễ bị nhầm lẫn với các bệnh ngoài da khác. Bài viết dưới đây sẽ giúp bạn hiểu rõ đặc điểm của bệnh thông qua hình ảnh thực tế ở nhiều vị trí trên cơ thể.

Hình ảnh bệnh vảy phấn hồng trông như thế nào

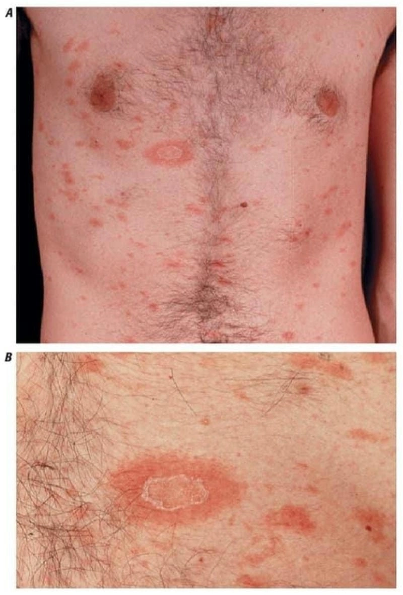
Bạn sẽ không tin nổi khi tận mắt thấy hình ảnh bệnh vảy phấn hồng ở giai đoạn đầu. Những mảng hồng ban đầu tưởng chỉ là dị ứng nhẹ, nhưng nhanh chóng lan rộng khiến làn da nổi sẩn, bong vảy như thể vừa bước ra từ một bộ phim kinh dị. Đây không đơn giản là bệnh da liễu thông thường mà còn là nỗi ám ảnh về mặt thẩm mỹ với bất kỳ ai từng mắc phải.

Hình ảnh bệnh vảy phấn hồng trông như thế nào
Hình ảnh bệnh vảy phấn hồng trông như thế nào

Tham khảo ngay: Nhận biết sớm qua hình ảnh bệnh béo phì điển hình

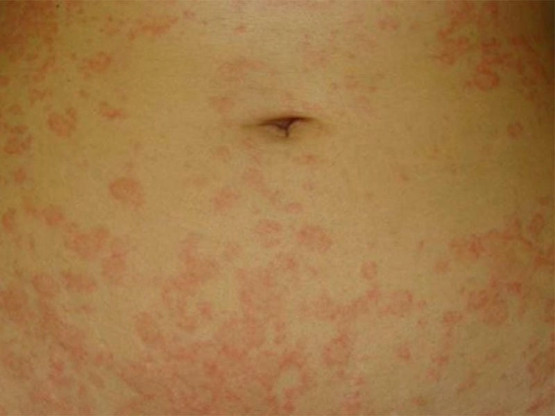
Tổng hợp ảnh bệnh vảy phấn hồng thực tế nhất

Bạn cần một cái nhìn chân thực? Đừng bỏ qua bộ sưu tập hình ảnh bệnh vảy phấn hồng tổng hợp từ các ca bệnh thực tế. Từ vết tổn thương ban đầu đến những vùng da đỏ rực, bong tróc lan rộng – mỗi bức ảnh là một lời cảnh báo đanh thép về việc xem nhẹ các dấu hiệu da liễu. Càng nhìn kỹ, bạn sẽ càng rợn người vì độ lan tỏa và biến dạng mà căn bệnh này gây ra.

Vảy nến phấn hồng xuất hiện đột ngột
Vảy nến phấn hồng xuất hiện đột ngột
Phân biệt vảy nến hồng với eczema
Phân biệt vảy nến hồng với eczema
Hình ảnh rõ nét vảy nến hồng gibert
Hình ảnh rõ nét vảy nến hồng gibert
So sánh vảy phấn hồng và vảy nến dễ hiểu
So sánh vảy phấn hồng và vảy nến dễ hiểu
Dấu hiệu nhận biết vẩy nến hồng phổ biến
Dấu hiệu nhận biết vẩy nến hồng phổ biến
Tổng hợp ảnh bệnh vảy nến phấn hồng thực tế
Tổng hợp ảnh bệnh vảy nến phấn hồng thực tế
Xem rõ ảnh người bị vảy nến phấn hồng chi tiết
Xem rõ ảnh người bị vảy nến phấn hồng chi tiết
Tìm hiểu ảnh người bị bệnh vảy nến phấn hồng lâm sàng
Tìm hiểu ảnh người bị bệnh vảy nến phấn hồng lâm sàng
Xem hình ảnh người bị bệnh vảy nến phấn hồng thực tế
Xem hình ảnh người bị bệnh vảy nến phấn hồng thực tế
Tổng hợp hình ảnh bệnh vảy nến phấn hồng lâm sàng
Tổng hợp hình ảnh bệnh vảy nến phấn hồng lâm sàng
Cập nhật hình ảnh bệnh vảy nến phấn hồng ở người chi tiết
Cập nhật hình ảnh bệnh vảy nến phấn hồng ở người chi tiết
Nhận biết ảnh trẻ bị vảy nến phấn hồng dễ dàng
Nhận biết ảnh trẻ bị vảy nến phấn hồng dễ dàng
Nguyên nhân gây vảy nến phấn hồng là gì
Nguyên nhân gây vảy nến phấn hồng là gì
Các mức độ tổn thương vảy nến hồng
Các mức độ tổn thương vảy nến hồng
Phân biệt vảy phấn hồng và vảy nến chính xác
Phân biệt vảy phấn hồng và vảy nến chính xác
Biến chứng thường gặp vẩy nến hồng
Biến chứng thường gặp vẩy nến hồng
Tìm hiểu chi tiết benh vay nen hong dễ hiểu
Tìm hiểu chi tiết benh vay nen hong dễ hiểu
Thông tin tổng quan về vay nen hong
Thông tin tổng quan về vay nen hong
Giải đáp vảy nến hồng có lây không cho bạn
Giải đáp vảy nến hồng có lây không cho bạn
Tổng hợp mới nhất ảnh bệnh vảy nến phấn hồng
Tổng hợp mới nhất ảnh bệnh vảy nến phấn hồng
Xem chi tiết hình ảnh bệnh vảy phấn hồng rõ nét
Xem chi tiết hình ảnh bệnh vảy phấn hồng rõ nét
Tìm hiểu ảnh người bị bệnh vảy nến phấn hồng cụ thể
Tìm hiểu ảnh người bị bệnh vảy nến phấn hồng cụ thể
Diễn biến lâm sàng vảy nến phấn hồng theo giai đoạn
Diễn biến lâm sàng vảy nến phấn hồng theo giai đoạn

Tham khảo ngay: Hình ảnh bệnh chàm tổ đỉa và dấu hiệu dễ nhận biết

Hy vọng những hình ảnh bệnh vảy phấn hồng được chia sẻ trong bài viết sẽ giúp bạn nhận biết sớm triệu chứng và có hướng xử lý phù hợp. Đừng quên tham khảo ý kiến bác sĩ khi có dấu hiệu bất thường để điều trị kịp thời và hiệu quả.