Nhận biết bệnh qua hình ảnh bệnh sâu răng thực tế

18-07-2025
Chia sẻ

Hình ảnh bệnh sâu răng giúp nhận diện rõ các dấu hiệu tổn thương trên răng miệng, từ nhẹ đến nặng. Việc quan sát trực quan qua hình ảnh sẽ giúp bạn phát hiện bệnh sớm, điều trị kịp thời và ngăn ngừa biến chứng nguy hiểm đến sức khỏe răng miệng.

Hình ảnh bệnh sâu răng là như thế nào 

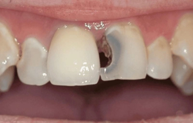
Đã bao giờ bạn thắc mắc hình ảnh bệnh sâu răng là như thế nào mà khiến hàng triệu người xem xong phải buông bàn chải đánh răng rồi đi khám ngay lập tức? Những chiếc răng lở loét, đổi màu, mục ruỗng đến chân tủy – tất cả tạo nên một bức tranh kinh hoàng về hậu quả của việc xem nhẹ vệ sinh răng miệng. Đây không phải là lời đe dọa, mà là thực tế đang diễn ra trong miệng của hàng ngàn người mỗi ngày.

Hình ảnh bệnh sâu răng là như thế nào 
Hình ảnh bệnh sâu răng là như thế nào 

Tham khảo thêm: Hình ảnh bệnh đau dạ dày giúp chẩn đoán chính xác hơn

Tổng hợp ảnh bệnh sâu răng thực tế đau đớn

Cảnh báo: Bộ sưu tập tổng hợp ảnh bệnh sâu răng dưới đây có thể khiến bạn mất khẩu vị trong vài giờ! Đây không phải là những hình minh họa mô phỏng, mà là hình ảnh thật của những bệnh nhân ngoài đời thực – nơi răng bị khoét sâu, mủ chảy, viêm nhiễm nặng nề, thậm chí có nguy cơ nhiễm trùng toàn thân. Càng xem càng thấy nỗi ám ảnh của căn bệnh tưởng chừng nhỏ nhưng hậu quả lại khôn lường.

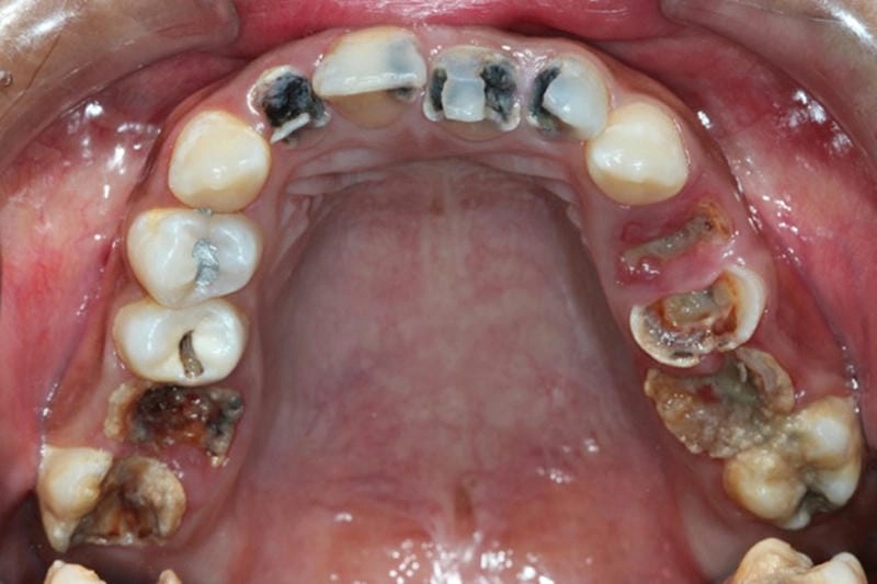
Bệnh sâu răng ảnh hưởng mọi lứa tuổi
Bệnh sâu răng ảnh hưởng mọi lứa tuổi
Xem hình ảnh bị sâu răng rõ nét
Xem hình ảnh bị sâu răng rõ nét
Tìm hiểu sâu về bệnh học sâu răng
Tìm hiểu sâu về bệnh học sâu răng
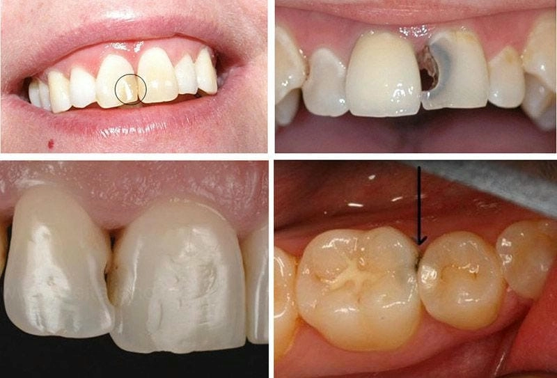
Góc cận cảnh rõ nét ảnh răng sâu
Góc cận cảnh rõ nét ảnh răng sâu
Tham khảo nhanh các ảnh đau răng điển hình
Tham khảo nhanh các ảnh đau răng điển hình
Cảnh báo sớm qua hình ảnh bé bị sâu răng
Cảnh báo sớm qua hình ảnh bé bị sâu răng
Lưu ý khi gặp bệnh sâu răng ở người lớn
Lưu ý khi gặp bệnh sâu răng ở người lớn
Phụ huynh lo lắng với ảnh bé bị sâu răng
Phụ huynh lo lắng với ảnh bé bị sâu răng
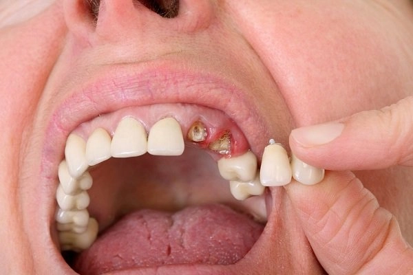
Cảnh báo biến chứng viêm lợi do sâu răng
Cảnh báo biến chứng viêm lợi do sâu răng
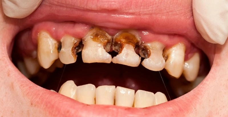
Đừng chủ quan khi bị bệnh sâu răng
Đừng chủ quan khi bị bệnh sâu răng
Chia sẻ thực tế ảnh người bị sâu răng rõ nét
Chia sẻ thực tế ảnh người bị sâu răng rõ nét
Hậu quả nếu xem nhẹ hình ảnh người bị bệnh sâu răngg
Hậu quả nếu xem nhẹ hình ảnh người bị bệnh sâu răngg
Thực trạng phổ biến qua hình ảnh em bé sún răng
Thực trạng phổ biến qua hình ảnh em bé sún răng
Xem chi tiết hình ảnh trẻ em bị sâu răng
Xem chi tiết hình ảnh trẻ em bị sâu răng
Biến chứng đáng lo từ hình ảnh sâu răng viêm lợi
Biến chứng đáng lo từ hình ảnh sâu răng viêm lợi
Phổ biến nhất là bệnh sâu răng ở trẻ em
Phổ biến nhất là bệnh sâu răng ở trẻ em
Phòng ngừa hiệu quả từ ảnh trẻ bị sâu răng
Phòng ngừa hiệu quả từ ảnh trẻ bị sâu răng
Xem ngay hình ảnh em bé bị sâu răng thực tế
Xem ngay hình ảnh em bé bị sâu răng thực tế
Đầy đủ tài liệu minh họa ảnh bệnh sâu răng
Đầy đủ tài liệu minh họa ảnh bệnh sâu răng
Tổng hợp chi tiết hình ảnh bệnh sâu răng
Tổng hợp chi tiết hình ảnh bệnh sâu răng
Tìm hiểu qua hình ảnh đau răng sâu thực tế
Tìm hiểu qua hình ảnh đau răng sâu thực tế
Lưu ý nguy hiểm khi sâu răng biến chứng
Lưu ý nguy hiểm khi sâu răng biến chứng
Cận cảnh chi tiết hình ảnh răng sâu nặng
Cận cảnh chi tiết hình ảnh răng sâu nặng
Đừng bỏ qua triệu chứng bệnh sâu răng
Đừng bỏ qua triệu chứng bệnh sâu răng

Tham khảo thêm: Tổng hợp hình ảnh bệnh mụn trứng cá từ nhẹ đến nặng

Việc theo dõi hình ảnh bệnh sâu răng sẽ giúp bạn nâng cao nhận thức, chủ động hơn trong việc chăm sóc và bảo vệ răng miệng. Đừng chủ quan với những dấu hiệu ban đầu – phát hiện sớm luôn là cách phòng tránh hiệu quả nhất mọi bệnh lý răng miệng.