Tổng hợp hình ảnh bệnh phong ngứa phổ biến hiện nay

16-07-2025
Chia sẻ

Hình ảnh bệnh phong ngứa là một trong những cách nhận diện nhanh chóng tình trạng viêm da dị ứng phổ biến. Bài viết dưới đây sẽ giúp bạn hiểu rõ đặc điểm, dấu hiệu qua hình ảnh và cách nhận biết để có hướng xử lý kịp thời, hiệu quả.

Phong ngứa là như thế nào nhìn tận mắt mới hiểu

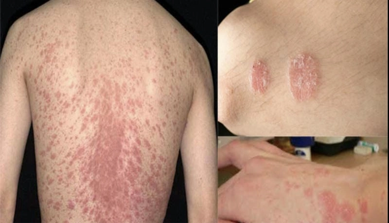
Nghe thì tưởng đơn giản nhưng phong ngứa là như thế nào thật sự chỉ khi nhìn vào thực tế mới thấy đáng sợ. Tình trạng nổi ban đỏ, mẩn ngứa lan khắp người không rõ nguyên nhân có thể bùng phát bất cứ lúc nào. Nhiều người nhầm lẫn phong ngứa với dị ứng nhẹ mà không biết rằng đây là biểu hiện viêm da mãn tính, rất dễ tái phát. Hãy nhìn kỹ để không chẩn đoán sai!

Phong ngứa là như thế nào nhìn tận mắt mới hiểu
Phong ngứa là như thế nào nhìn tận mắt mới hiểu

Tham khảo ngay: Nhận biết sớm qua các hình ảnh bệnh hắc lào thực tế

Tổng hợp ảnh bệnh phong ngứa dễ gây sốc

Bộ sưu tập tổng hợp ảnh bệnh phong ngứa sau đây là lời cảnh tỉnh cho những ai đang chủ quan với sức khỏe làn da. Từ các mảng đỏ li ti đến những vệt sưng tấy khắp cơ thể, tất cả đều cho thấy mức độ nghiêm trọng và sự khó chịu tột độ mà người bệnh phải chịu đựng. Xem ảnh để hiểu và cảnh giác, đừng để bản thân trở thành nạn nhân tiếp theo của căn bệnh đầy phiền toái này!

Hình ảnh bệnh phong ngứa rõ nét dễ nhận biết
Hình ảnh bệnh phong ngứa rõ nét dễ nhận biết
Triệu chứng thường gặp của bệnh phong ngứa
Triệu chứng thường gặp của bệnh phong ngứa
Giải đáp thắc mắc bệnh phong ngứa có lây không
Giải đáp thắc mắc bệnh phong ngứa có lây không
Tìm hiểu chính xác bệnh phong ngứa là gì
Tìm hiểu chính xác bệnh phong ngứa là gì
Xem ngay hình ảnh người bị bệnh phong chân thực
Xem ngay hình ảnh người bị bệnh phong chân thực
Phân biệt qua hình ảnh bệnh phong cụ thể
Phân biệt qua hình ảnh bệnh phong cụ thể
Nguyên nhân khiến bạn bị phong ngứa bất ngờ
Nguyên nhân khiến bạn bị phong ngứa bất ngờ
Nhận biết sớm tình trạng phong ngứa trên da
Nhận biết sớm tình trạng phong ngứa trên da
Cảnh giác với dấu hiệu bênh phong ngứa tiềm ẩn
Cảnh giác với dấu hiệu bênh phong ngứa tiềm ẩn
Hiểu đúng về bệnh máu phong ngứa nguy hiểm
Hiểu đúng về bệnh máu phong ngứa nguy hiểm
Tình trạng da khi bị bệnh phong ngứa kéo dài
Tình trạng da khi bị bệnh phong ngứa kéo dài
Xem ngay hình ảnh phong ngứa ở tay chi tiết
Xem ngay hình ảnh phong ngứa ở tay chi tiết
Nguyên nhân khiến bệnh phong ngứa kéo dài
Nguyên nhân khiến bệnh phong ngứa kéo dài
Lý do gây phong ngứa dị ứng thời tiết phổ biến
Lý do gây phong ngứa dị ứng thời tiết phổ biến
Dấu hiệu cảnh báo triệu chứng bệnh phong ngứa
Dấu hiệu cảnh báo triệu chứng bệnh phong ngứa
Tìm hiểu nguyên nhân gây bệnh phong ngứa thường gặp
Tìm hiểu nguyên nhân gây bệnh phong ngứa thường gặp
Tham khảo hình ảnh phong ngứa ở người lớn chính xác
Tham khảo hình ảnh phong ngứa ở người lớn chính xác
Tổng hợp rõ nét hình ảnh bị phong ngứa
Tổng hợp rõ nét hình ảnh bị phong ngứa
Giải mã hiện tượng nổi phong ngứa đột ngột
Giải mã hiện tượng nổi phong ngứa đột ngột
Gợi ý cách trị phong ngứa dị ứng an toàn
Gợi ý cách trị phong ngứa dị ứng an toàn
Tổng hợp hình ảnh phong ngứa ngoài da phổ biến
Tổng hợp hình ảnh phong ngứa ngoài da phổ biến
Phân biệt qua hình ảnh phong ngứa ở tay rõ ràng
Phân biệt qua hình ảnh phong ngứa ở tay rõ ràng
Xem ngay chi tiết hình ảnh phong ngứa dễ nhận biết
Xem ngay chi tiết hình ảnh phong ngứa dễ nhận biết
Thông tin tổng quan bệnh phong ngứa ở người
Thông tin tổng quan bệnh phong ngứa ở người

Tham khảo ngay: Tổng hợp hình ảnh bệnh uốn ván qua từng giai đoạn

Qua những hình ảnh bệnh phong ngứa chi tiết, bạn đã phần nào hiểu được triệu chứng và mức độ nghiêm trọng của bệnh. Việc nhận diện sớm qua hình ảnh giúp quá trình điều trị hiệu quả hơn, hạn chế biến chứng nguy hiểm cho sức khỏe.