Hình ảnh bệnh lao phổi thực tế từ phim chụp X-quang

11-07-2025
Chia sẻ

Hình ảnh bệnh lao phổi là tài liệu tham khảo quan trọng giúp người bệnh và bác sĩ dễ dàng nhận biết dấu hiệu bất thường. Việc quan sát hình ảnh X-quang, CT phổi giúp chẩn đoán chính xác mức độ tổn thương và đưa ra phương án điều trị kịp thời.

Hình ảnh bệnh lao phổi là như thế nào

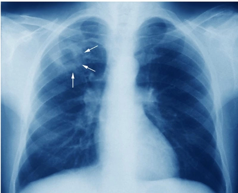
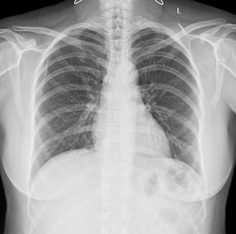
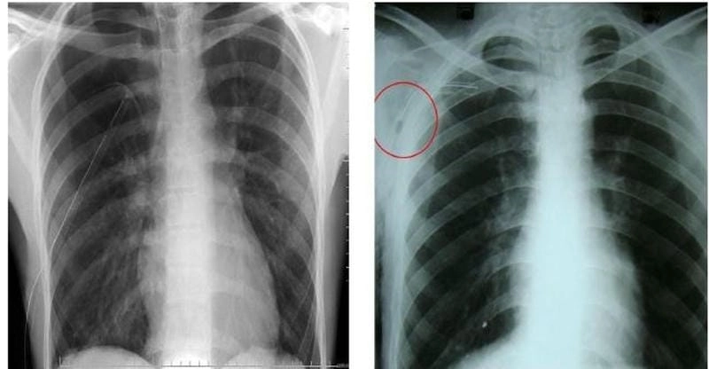
Bạn sẽ phải rùng mình khi chiêm ngưỡng hình ảnh bệnh lao phổi là như thế nào dưới ống kính y học thực tế. Những bức ảnh chụp X-quang cho thấy phổi bị tổn thương nặng, xuất hiện những đốm trắng mờ như bóng ma ám ảnh. Không chỉ là các tổn thương vật lý, đây còn là những “chứng tích sống” của căn bệnh âm thầm hủy hoại cơ thể qua từng hơi thở. Từ viêm nhẹ đến tổn thương lan rộng, hình ảnh bệnh lao phổi khiến người xem không thể rời mắt vì mức độ nghiêm trọng mà nó thể hiện rõ ràng qua từng chi tiết.

Hình ảnh bệnh lao phổi là như thế nào
Hình ảnh bệnh lao phổi là như thế nào

Khám phá ngay: Hình ảnh bệnh zona thần kinh ở mắt và dấu hiệu nhận biết

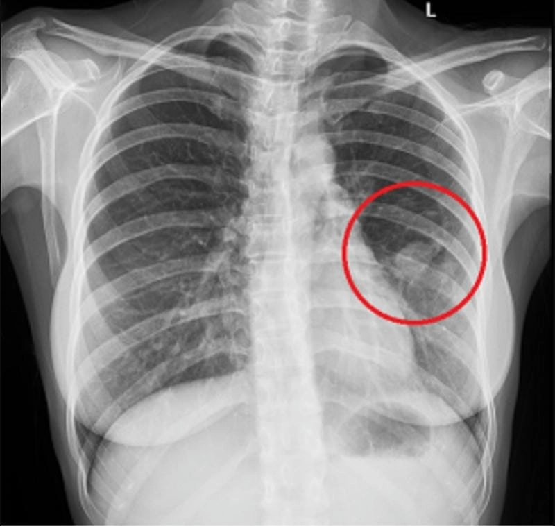
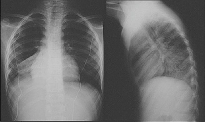
Tổng hợp ảnh bệnh lao phổi chân thực

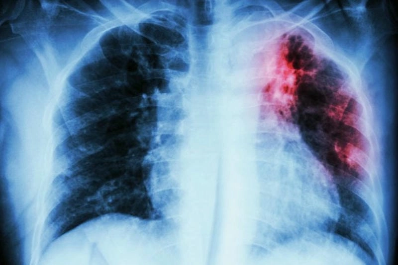
Cảnh báo: tổng hợp ảnh bệnh lao phổi chân thực này không dành cho người yếu tim. Đây là loạt hình ảnh y khoa được các chuyên gia sưu tầm và xác thực, ghi lại quá trình tiến triển của bệnh từ giai đoạn đầu đến giai đoạn nguy kịch. Từng mảng mô phổi bị ăn mòn, xơ hóa, hoại tử được phơi bày rõ nét dưới ánh sáng X-quang lạnh lùng. Những hình ảnh này không chỉ mang tính chất minh họa y học, mà còn là hồi chuông cảnh tỉnh cho bất kỳ ai còn lơ là với căn bệnh nguy hiểm này.

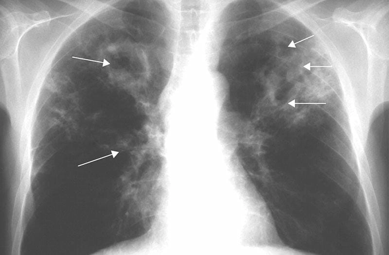
Khám phá hình ảnh bệnh lao phổi chi tiết dễ hiểu
Khám phá hình ảnh bệnh lao phổi chi tiết dễ hiểu
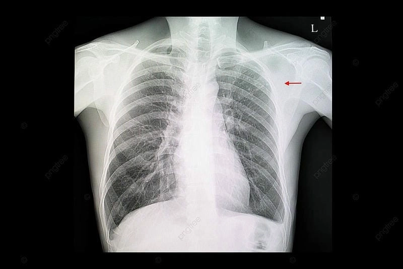
Tìm hiểu rõ hơn qua hình ảnh bệnh lao trực quan
Tìm hiểu rõ hơn qua hình ảnh bệnh lao trực quan
Tổng hợp đầy đủ hình ảnh lao phổi mới nhất
Tổng hợp đầy đủ hình ảnh lao phổi mới nhất
So sánh lao hình ảnh phổi bình thường dễ nhận biết
So sánh lao hình ảnh phổi bình thường dễ nhận biết
Phân tích chuyên sâu hình ảnh ct lao phổi lâm sàng
Phân tích chuyên sâu hình ảnh ct lao phổi lâm sàng
Cập nhật chi tiết hình ảnh hang lao phổi thực tế
Cập nhật chi tiết hình ảnh hang lao phổi thực tế
Khám phá rõ nét hình ảnh lao phổi trên ct
Khám phá rõ nét hình ảnh lao phổi trên ct
Phân biệt bệnh qua hình ảnh phổi bị lao chính xác
Phân biệt bệnh qua hình ảnh phổi bị lao chính xác
Tham khảo kỹ lưỡng hình ảnh phổi của người bị lao
Tham khảo kỹ lưỡng hình ảnh phổi của người bị lao
Chuẩn đoán chính xác nhờ hình ảnh x quang lao phổi
Chuẩn đoán chính xác nhờ hình ảnh x quang lao phổi
Nhận biết dễ dàng qua lao phổi x quang
Nhận biết dễ dàng qua lao phổi x quang
Hiểu rõ triệu chứng qua hình ảnh về bệnh lao phổi
Hiểu rõ triệu chứng qua hình ảnh về bệnh lao phổi
Xem xét chuyên môn với chẩn đoán hình ảnh lao phổi
Xem xét chuyên môn với chẩn đoán hình ảnh lao phổi
Tìm hiểu chi tiết hình ảnh lao phổi trên x quang
Tìm hiểu chi tiết hình ảnh lao phổi trên x quang
Tổng hợp nổi bật hình ảnh phổi bị lao thực tế
Tổng hợp nổi bật hình ảnh phổi bị lao thực tế
Khám phá y học qua hình ảnh bệnh lao sinh động
Khám phá y học qua hình ảnh bệnh lao sinh động
Cập nhật nhanh chóng hình ảnh lao phổi đa dạng
Cập nhật nhanh chóng hình ảnh lao phổi đa dạng
Tìm hiểu sâu sắc hình ảnh bệnh lao phổi từ bác sĩ
Tìm hiểu sâu sắc hình ảnh bệnh lao phổi từ bác sĩ
Xem thực tế qua hình ảnh phổi của người bị lao rõ nét
Xem thực tế qua hình ảnh phổi của người bị lao rõ nét
Tổng quan chi tiết hình ảnh x quang lao phổi
Tổng quan chi tiết hình ảnh x quang lao phổi
Cập nhật nhanh chóng ảnh bệnh lao phổi từ thực tế
Cập nhật nhanh chóng ảnh bệnh lao phổi từ thực tế
Khám phá cụ thể hình ảnh x quang phổi bị lao
Khám phá cụ thể hình ảnh x quang phổi bị lao
Tìm hiểu qua hình ảnh về bệnh lao phổi chuẩn xác
Tìm hiểu qua hình ảnh về bệnh lao phổi chuẩn xác
Xem ngay các ảnh chụp lao phổi rõ nét dễ hiểu
Xem thực tế các ảnh lao phổi từ chẩn đoán

Khám phá ngay: Cảnh báo sớm qua các hình ảnh bệnh lậu phổ biến hiện nay

Thông qua những hình ảnh bệnh lao phổi thực tế, người đọc có thể hiểu rõ hơn về diễn biến của bệnh. Việc theo dõi hình ảnh giúp phát hiện sớm, điều trị đúng cách và ngăn ngừa biến chứng nghiêm trọng có thể xảy ra trong tương lai.