Cảnh báo dấu hiệu qua hình ảnh bệnh herpes thực tế

17-07-2025
Chia sẻ

 

Hình ảnh bệnh herpes giúp người đọc dễ nhận biết các dấu hiệu ban đầu của bệnh, từ đó chủ động đi khám và điều trị. Việc phân biệt đúng các loại herpes qua hình ảnh là bước quan trọng để bảo vệ sức khỏe bản thân và tránh lây nhiễm cho người khác.

Hình ảnh bệnh herpes là như thế nào

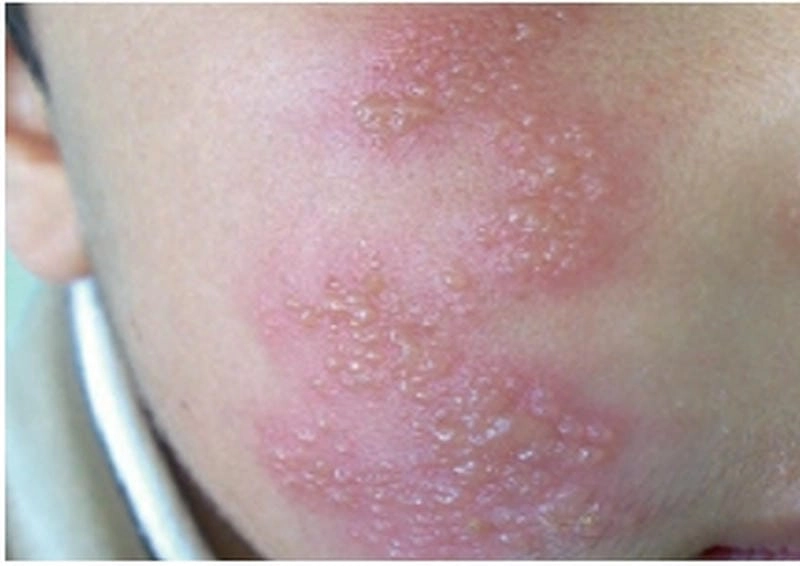
Hình ảnh bệnh herpes có thể khiến bạn choáng váng ngay từ cái nhìn đầu tiên. Những vết mụn nước nhỏ li ti, tụ thành từng cụm như “ổ vi khuẩn” đáng sợ trên da, môi hoặc bộ phận sinh dục khiến ai cũng phải rùng mình. Không chỉ gây đau rát, các hình ảnh này còn là lời cảnh tỉnh cho những ai coi thường việc bảo vệ sức khỏe tình dục. Đừng chờ đến khi quá muộn mới tìm hiểu hình ảnh bệnh herpes là như thế nào, bởi chỉ một lần sơ ý, bạn có thể mang virus này suốt đời.

Hình ảnh bệnh herpes là như thế nào
Hình ảnh bệnh herpes là như thế nào

Khám phá thêm: Hình ảnh bệnh Kawasaki giúp chẩn đoán sớm hiệu quả

Tổng hợp ảnh bệnh herpes ở môi

Bệnh herpes ở môi không đơn giản là vết nhiệt miệng thông thường. Nhìn vào tổng hợp ảnh bệnh herpes ở môi, bạn sẽ thấy sự khác biệt rõ rệt: môi sưng đỏ, rộp nước, bong tróc và lở loét như thể vừa bị bỏng nhẹ. Những hình ảnh này không chỉ gây mất thẩm mỹ mà còn tiềm ẩn nguy cơ lây lan cao nếu không điều trị kịp thời. Đây là minh chứng rõ ràng cho mức độ nguy hiểm mà virus herpes simplex type 1 có thể gây ra.

Khám phá hình ảnh bệnh herpes chân thực rõ nét
Khám phá hình ảnh bệnh herpes chân thực rõ nét
Nhận biết sớm dấu hiệu bệnh herpes trên da
Nhận biết sớm dấu hiệu bệnh herpes trên da
Dấu hiệu đặc trưng dễ thấy của herpes môi
Dấu hiệu đặc trưng dễ thấy của herpes môi
Bạn đang nghi ngờ mình bị herpes môi không
Bạn đang nghi ngờ mình bị herpes môi không
Ảnh phóng to chi tiết về herpes môi thật
Ảnh phóng to chi tiết về herpes môi thật
Đừng bỏ lỡ ảnh người bị herpes môi thật
Đừng bỏ lỡ ảnh người bị herpes môi thật
Xem ngay ảnh lâm sàng bệnh học herpes
Xem ngay ảnh lâm sàng bệnh học herpes
Loạt ảnh cảnh báo bệnh herpes da phổ biến
Loạt ảnh cảnh báo bệnh herpes da phổ biến
Xem ngay ảnh lâm sàng bệnh học herpes
Xem ngay ảnh lâm sàng bệnh học herpes
Ảnh mô phỏng virus herpes ở miệng nguy hiểm
Ảnh mô phỏng virus herpes ở miệng nguy hiểm
Bộ sưu tập hình ảnh bệnh herpes ở người sống động
Bộ sưu tập hình ảnh bệnh herpes ở người sống động
Ảnh minh họa rõ nét bệnh herpes ở nam giới
Ảnh minh họa rõ nét bệnh herpes ở nam giới
Cập nhật ảnh mới nhất về bệnh herpes da ngoài da
Cập nhật ảnh mới nhất về bệnh herpes da ngoài da
Hình ảnh thực tế về bệnh herpes miệng dễ nhận biết
Hình ảnh thực tế về bệnh herpes miệng dễ nhận biết
Xem ảnh minh họa về bệnh học herpes trong thực tế
Xem ảnh minh họa về bệnh học herpes trong thực tế
Cập nhật ảnh rõ nét vi khuẩn herpes miệng lây lan
Cập nhật ảnh rõ nét vi khuẩn herpes miệng lây lan
Cùng soi kỹ ảnh virus herpes ở da rõ ràng
Cùng soi kỹ ảnh virus herpes ở da rõ ràng
Xem ảnh minh họa về bệnh học herpes trong thực tế
Xem ảnh minh họa về bệnh học herpes trong thực tế
Tổng hợp ảnh khi môi bị virus herpes xâm nhập
Tổng hợp ảnh khi môi bị virus herpes xâm nhập

Khám phá thêm: Tổng hợp hình ảnh bệnh tan máu bẩm sinh dễ nhận biết

Qua những hình ảnh bệnh herpes cụ thể, bạn có thể nhận biết các biểu hiện bất thường trên da, miệng hay cơ quan sinh dục. Nếu phát hiện dấu hiệu nghi ngờ, hãy đến cơ sở y tế uy tín để được tư vấn, xét nghiệm và điều trị kịp thời.