Nhận biết sớm qua hình ảnh bệnh bạch sản lưỡi chi tiết

22-07-2025
Chia sẻ

Hình ảnh bệnh bạch sản lưỡi là công cụ hữu ích giúp nhận biết sớm các tổn thương bất thường ở niêm mạc miệng. Việc quan sát các đặc điểm thay đổi trên lưỡi qua hình ảnh thực tế giúp người bệnh phát hiện và điều trị kịp thời, tránh biến chứng nguy hiểm.

Hình ảnh bệnh bạch sản lưỡi là như thế nào

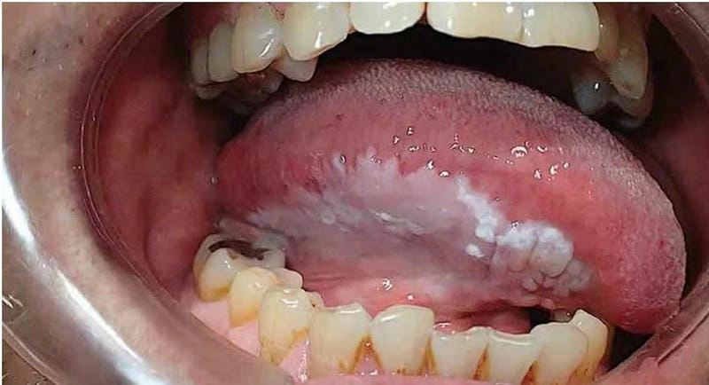
Cảnh báo rợn người với hình ảnh bạch sản lưỡi: những mảng trắng kỳ lạ, gồ ghề xuất hiện như “vết sẹo ma” trên bề mặt lưỡi, tưởng chừng vô hại nhưng lại là dấu hiệu sớm của ung thư. Bạn sẽ không thể rời mắt khỏi loạt ảnh ghi lại từng chi tiết ghê rợn đến lạnh gáy, từ giai đoạn đầu mờ nhạt đến lúc loét sâu, khiến người xem không khỏi rùng mình.

Hình ảnh bệnh bạch sản lưỡi là như thế nào
Hình ảnh bệnh bạch sản lưỡi là như thế nào

Tìm hiểu thêm: Hình ảnh bệnh đậu gà thật giúp bạn phân biệt dễ dàng

Tổng hợp ảnh bạch sản lưỡi thật 100%

Cú sốc thị giác từ bộ hình ảnh bệnh bạch sản lưỡi thật khiến ai xem cũng phải giật mình. Những bức ảnh zoom cận từng vùng tổn thương, ánh sáng lạnh lẽo và gam màu u ám gợi cảm giác đau đớn tột cùng. Không chỉ là tư liệu y học, đây còn là một tác phẩm nghệ thuật của sự thật tàn nhẫn, khiến người xem phải suy ngẫm về sức khỏe lưỡi của chính mình.

Khám phá hình ảnh bệnh bạch sản lưỡi rõ nét dễ nhận biết
Khám phá hình ảnh bệnh bạch sản lưỡi rõ nét dễ nhận biết
Nhận biết bệnh bạch sản lưỡi qua hình ảnh thực tế
Nhận biết bệnh bạch sản lưỡi qua hình ảnh thực tế
Tìm hiểu triệu chứng bạch sản lưỡi qua ảnh minh họa
Tìm hiểu triệu chứng bạch sản lưỡi qua ảnh minh họa
Xem ngay bạch sản lông ở lưỡi trong bộ ảnh mô tả
Xem ngay bạch sản lông ở lưỡi trong bộ ảnh mô tả
Phân biệt bạch sản miệng và lưỡi bằng hình ảnh cụ thể
Phân biệt bạch sản miệng và lưỡi bằng hình ảnh cụ thể
Cảnh báo sớm bạch sản ở lưỡi qua hình ảnh trực quan
Cảnh báo sớm bạch sản ở lưỡi qua hình ảnh trực quan
Cập nhật bệnh bạch sản ở lưỡi bằng hình ảnh mới nhất
Cập nhật bệnh bạch sản ở lưỡi bằng hình ảnh mới nhất
Bộ sưu tập ảnh bệnh bạch sản lưỡi chân thực chi tiết
Bộ sưu tập ảnh bệnh bạch sản lưỡi chân thực chi tiết
Xem rõ hình ảnh bạch sản lưỡi để nhận biết bệnh sớm
Xem rõ hình ảnh bạch sản lưỡi để nhận biết bệnh sớm
Tìm hiểu qua ảnh người bị bệnh bạch sản lưỡi thật
Tìm hiểu qua ảnh người bị bệnh bạch sản lưỡi thật
Chẩn đoán sớm qua hình ảnh người bị bạch sản lưỡi
Chẩn đoán sớm qua hình ảnh người bị bạch sản lưỡi
Dấu hiệu rõ ràng ở người bị bệnh bạch sản lưỡi
Dấu hiệu rõ ràng ở người bị bệnh bạch sản lưỡi
Xem triệu chứng ở người bị bạch sản lưỡi qua ảnh thật
Xem triệu chứng ở người bị bạch sản lưỡi qua ảnh thật
Tổng hợp ảnh bệnh sản lưỡi ở người được xác thực
Tổng hợp ảnh bệnh sản lưỡi ở người được xác thực
Tổng hợp hình ảnh bạch sản lưỡi từ nguồn uy tín
Tổng hợp hình ảnh bạch sản lưỡi từ nguồn uy tín
Xem triệu chứng bạch sản ở lưỡi trong từng trường hợp
Xem triệu chứng bạch sản ở lưỡi trong từng trường hợp
Hiểu rõ bạch sản ở lưỡi là gì qua hình ảnh minh họa
Hiểu rõ bạch sản ở lưỡi là gì qua hình ảnh minh họa
Chiêm ngưỡng ảnh thật bệnh bạch sản ở lưỡi chi tiết
Chiêm ngưỡng ảnh thật bệnh bạch sản ở lưỡi chi tiết
Phát hiện sớm qua dấu hiệu bạch sản lưỡi bằng ảnh
Phát hiện sớm qua dấu hiệu bạch sản lưỡi bằng ảnh
Tìm hiểu bệnh bạch sản lưỡi qua hình ảnh y khoa rõ nét
Tìm hiểu bệnh bạch sản lưỡi qua hình ảnh y khoa rõ nét
Tổng hợp biểu hiện bạch sản miệng bằng hình ảnh thật
Tổng hợp biểu hiện bạch sản miệng bằng hình ảnh thật
Hình ảnh bạch sản lưỡi ở người lớn tuổi rõ ràng dễ nhận biết
Hình ảnh bạch sản lưỡi ở người lớn tuổi rõ ràng dễ nhận biết

Tìm hiểu thêm: Hình ảnh bệnh vi khuẩn ăn thịt người gây sốc cộng đồng

Qua việc phân tích hình ảnh bệnh bạch sản lưỡi, chúng ta có thể nhận biết dấu hiệu bệnh sớm và có phương án thăm khám phù hợp. Hãy chủ động kiểm tra sức khỏe răng miệng định kỳ để phòng tránh những biến chứng đáng tiếc từ bệnh lý này.

×
Ảnh toàn màn hình