Nhận diện hình ảnh bệnh Alzheimer qua giai đoạn đầu

25-07-2025
Chia sẻ

Hình ảnh bệnh Alzheimer giúp nhận biết sự thay đổi não bộ và biểu hiện lâm sàng của bệnh. Việc quan sát hình ảnh minh họa giúp người nhà và bác sĩ đánh giá giai đoạn, hỗ trợ chẩn đoán sớm và lên kế hoạch điều trị hiệu quả.

Hình ảnh bệnh alzheimer là như thế nào

Khi những hình ảnh bệnh alzheimer đầu tiên được công bố, cả thế giới rúng động trước sự thật đáng sợ về căn bệnh này. Những bức ảnh mô tả sự teo nhỏ của não bộ, những mảng bám bất thường và sự thay đổi cấu trúc thần kinh khiến nhiều người không khỏi ám ảnh. Đây không chỉ là hình ảnh y học khô khan mà còn là lời cảnh tỉnh cho cộng đồng về căn bệnh cướp dần ký ức của hàng triệu người mỗi năm.

Hình ảnh bệnh alzheimer là như thế nào
Hình ảnh bệnh alzheimer là như thế nào

Tham khảo ngay: Tổng hợp hình ảnh bệnh lao da qua các giai đoạn thường gặp

Tổng hợp ảnh bệnh alzheimer chân thực nhất

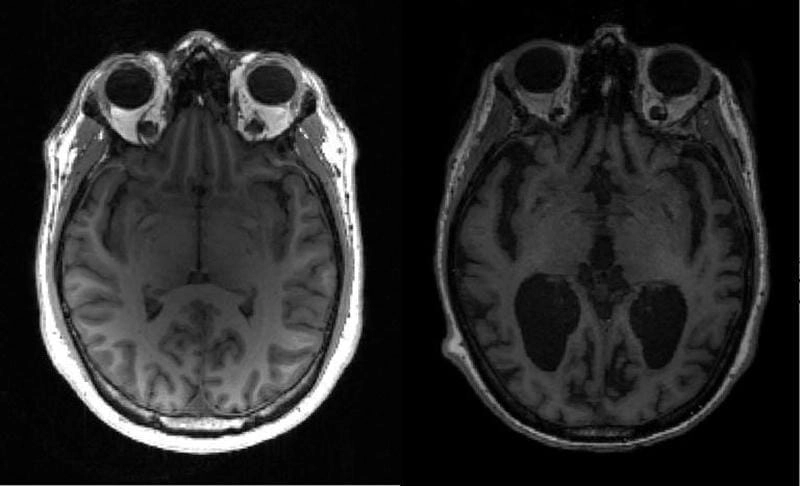
Bộ sưu tập hình ảnh bệnh alzheimer dưới kính hiển vi cho thấy sự khác biệt rõ rệt giữa não bộ khỏe mạnh và não bộ mắc bệnh. Những bức ảnh cận cảnh làm lộ rõ mảng amyloid và sợi thần kinh xoắn bất thường, nguyên nhân chính gây suy giảm trí nhớ. Mỗi bức ảnh đều kể một câu chuyện đau lòng, khắc họa hành trình từ quên lãng nhẹ đến mất hoàn toàn khả năng nhận thức của người bệnh.

Khám phá bệnh alzheimer hay sa sút trí tuệ qua ảnh thực tế
Khám phá bệnh alzheimer hay sa sút trí tuệ qua ảnh thực tế
Nhận biết sớm bệnh alzheimer ở người cao tuổi qua hình ảnh
Nhận biết sớm bệnh alzheimer ở người cao tuổi qua hình ảnh
Hình ảnh thực tế về bệnh alzheimer ở người già thường gặp
Hình ảnh thực tế về bệnh alzheimer ở người già thường gặp
Triệu chứng khi bị bệnh alzheimer thể hiện qua hình ảnh
Triệu chứng khi bị bệnh alzheimer thể hiện qua hình ảnh
Tổng hợp hình ảnh người bị bệnh alzheimer dễ nhận biết
Tổng hợp hình ảnh người bị bệnh alzheimer dễ nhận biết
Tìm hiểu biểu hiện người bệnh alzheimer qua ảnh thực tế
Tìm hiểu biểu hiện người bệnh alzheimer qua ảnh thực tế
Nhìn rõ biểu hiện qua ảnh người bị bệnh alzheimer
Nhìn rõ biểu hiện qua ảnh người bị bệnh alzheimer
Khám phá bộ ảnh người bệnh alzheimer chân thực nhất
Khám phá bộ ảnh người bệnh alzheimer chân thực nhất
Dấu hiệu thường gặp ở người bị bệnh alzheimer qua hình ảnh
Dấu hiệu thường gặp ở người bị bệnh alzheimer qua hình ảnh
Giải đáp thắc mắc alzheimer có di truyền không qua ảnh minh họa
Giải đáp thắc mắc alzheimer có di truyền không qua ảnh minh họa
Xem chi tiết hình ảnh bệnh alzheimer dễ hiểu và chính xác
Xem chi tiết hình ảnh bệnh alzheimer dễ hiểu và chính xác
Giải đáp câu hỏi alzheimer có chữa được không qua hình ảnh
Giải đáp câu hỏi alzheimer có chữa được không qua hình ảnh
Triệu chứng sớm của alzheimer ở người trẻ được ghi lại qua ảnh
Triệu chứng sớm của alzheimer ở người trẻ được ghi lại qua ảnh
Dấu hiệu alzheimer ở người trẻ tuổi qua hình ảnh minh họa
Dấu hiệu alzheimer ở người trẻ tuổi qua hình ảnh minh họa
Thông tin cơ bản về alzheimer là bệnh qua hình minh họa
Thông tin cơ bản về alzheimer là bệnh qua hình minh họa
Tìm hiểu triệu chứng qua bệnh alzheimer bằng hình ảnh rõ nét
Tìm hiểu triệu chứng qua bệnh alzheimer bằng hình ảnh rõ nét
Biểu hiện điển hình của mất trí nhớ alzheimer trong ảnh thực tế
Biểu hiện điển hình của mất trí nhớ alzheimer trong ảnh thực tế
Tìm hiểu nguyên nhân bệnh alzheimer phổ biến qua ảnh thực tế
Tìm hiểu nguyên nhân bệnh alzheimer phổ biến qua ảnh thực tế
Nhận biết sớm triệu chứng bệnh alzheimer qua hình ảnh minh họa
Nhận biết sớm triệu chứng bệnh alzheimer qua hình ảnh minh họa
Hình ảnh mô tả bệnh alzheimer giai đoạn đầu dễ nhận biết
Hình ảnh mô tả bệnh alzheimer giai đoạn đầu dễ nhận biết
Biểu hiện khác biệt bệnh alzheimer ở nam giới qua ảnh minh họa
Biểu hiện khác biệt bệnh alzheimer ở nam giới qua ảnh minh họa
Quy trình chẩn đoán bệnh alzheimer minh họa bằng hình thực tế
Quy trình chẩn đoán bệnh alzheimer minh họa bằng hình thực tế
Mẹo hữu ích giúp phòng ngừa bệnh alzheimer qua hình ảnh
Mẹo hữu ích giúp phòng ngừa bệnh alzheimer qua hình ảnh
Khám phá hình ảnh bệnh alzheimer giai đoạn cuối rõ rệt nhất
Khám phá hình ảnh bệnh alzheimer giai đoạn cuối rõ rệt nhất
Phương pháp hỗ trợ điều trị bệnh alzheimer minh họa qua ảnh
Phương pháp hỗ trợ điều trị bệnh alzheimer minh họa qua ảnh

Tham khảo ngay: Hình ảnh bệnh hạ cam rõ nhất giúp nhận biết sớm triệu chứng

Qua hình ảnh bệnh Alzheimer, chúng ta dễ dàng hiểu quá trình tiến triển và hậu quả của bệnh. Điều này góp phần nâng cao nhận thức, hỗ trợ người chăm sóc nhận biết sớm dấu hiệu và tìm kiếm phương pháp can thiệp kịp thời cho người bệnh.

×
Ảnh toàn màn hình